即将迎来的暑假~
孩子们开心,宝妈却开始担忧
特别爱吃甜食、零食的孩子们
却不好好刷牙
造成乳牙大面积龋坏
虽然已知窝沟封闭、涂氟是预防龋齿的有效手段
但已坏的乳牙只能选择补牙
通常孩子在补完牙或做完治疗后
儿童牙医会建议
给孩子的患牙再增加一层保护伞——预成冠
今天就为大家科普一下
儿童乳牙的保护伞——“预成冠”
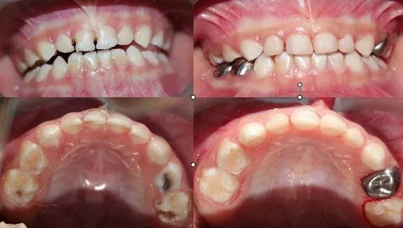
Part.1 什么是乳牙预成冠?
乳牙预成冠是通过预先加工成型,嵌套在儿童乳磨牙上(儿童初次长出,用于磨碎食物的牙齿)的人工牙冠。用来恢复乳磨牙的外形、咀嚼功能和咬合关系。
Part.2 哪些患牙需要做预成冠?
乳磨牙龋坏的高风险儿童;广泛龋坏、大面积龋损或者多个牙面龋损的患牙;进行牙髓摘除术或冠髓切除术的患牙;某些矫治器的基牙等。
Part.3 乳牙预成冠会影响长新牙吗?
不会!当宝宝换牙时,预成冠会和原先的乳牙一起脱落,不会影响后继恒牙的萌出。乳牙和预成冠要到11岁左右才会被换掉哦。
Part.4 做乳牙预成冠需要几次治疗?
做乳牙预成冠后,3-6月复查一次,一般可维持到换牙时预成冠与乳牙一起脱落,无需另行取出。临床操作简洁,和补牙一样不会造成很大的疼痛。
Part.5 做乳牙预成冠后有哪些注意事项?
由于预成冠要完全包绕乳牙牙冠,因此比乳牙稍小一点,这样预成冠戴着才结实,不易脱落。因此需要注意以下可能出现的问题:
① 做乳牙预成冠后半小时内勿进食和喝水;
② 做乳牙预成冠后提醒宝宝勿抠牙套;
③ 由于牙套边缘压迫牙龈,宝宝做完乳牙预成冠后一周内会感觉疼痛不适,不愿意用患牙咬东西,建议家长耐心转移宝宝注意力,帮他渡过不适期;
④ 做乳牙预成冠后因牙龈损伤或冠边缘压迫,宝宝可能出现暂时的牙龈疼痛或出血,家长此时更应注重宝宝的口腔卫生,不刷干净将加重牙龈的炎症。
乳牙预成冠技术是一项非常成熟的技术
可延长儿童乳牙的使用寿命
改善患者的口腔修复质量
能有效保护缺损较大的乳磨牙正常使用至替牙期
从而保证恒牙的顺利萌出
在发达国家,乳牙治疗中预成冠的使用达到80%
因此
儿童牙医建议:儿童牙齿萌出后,家长们应注意多观察儿童的牙齿生长状况,发现牙齿龋坏或其他问题应及时到口腔医院进行检查与治疗。为保护儿童的乳牙,我们倡导进行乳磨牙金属预成冠。
注:本文主要侧重“乳牙金属预成冠”

扫码下载APP
科普中国APP
科普中国
科普中国