这几天国庆假期,新闻突然爆出一则心酸的段子
“黄金周去哪里玩?”——婚宴8日游
事情真相:一男子黄金周假期要参加23场婚礼!
黄金周被安排得明明白白
份子钱逃不了,这大吃大喝,身体是否顶得住?
国庆期间饭局少不了,吃完大鱼大肉
不少人却被这样的问题困扰——吃东西老塞牙
口腔医生表示:
“塞牙”,其实是牙齿发出的求救信号,你的口腔很有可能存在牙病。
塞牙,医学上称为:食物嵌塞。塞牙导致主观感觉差,且容易导致烂牙、牙龈红肿出血等。每个人多少会受到塞牙的困扰,而原因不尽相同。今天就大家好好聊聊这个问题
为什么塞牙?
1.牙周病
刷牙方法不正确、没做好清洁,容易造成牙龈发炎。牙龈长期发炎会导致周围的牙槽骨吸收,牙龈炎发展成牙周炎,牙龈就会慢慢萎缩,这样就产生了较大的牙缝。牙周炎还会逐渐导致牙齿松动移位,导致塞牙进一步加重!
2.龋齿
俗称“蛀牙”,几乎所有的龋齿患者都发生过塞牙。其中有一种情况特别难受:龋齿发生两颗牙的邻接面,产生了龋洞,吃的东西都会塞进去。如果未能及时治疗,龋病就会向牙髓发展,成为牙髓炎,俗称牙神经痛。
3.智齿
人类在进化过程中吃的食物越来越细,导致颌骨骨量不断减少,使牙齿萌出的位置减少,智齿没有足够的空间生长,所以大多数的智齿长歪,顶着相邻的牙齿,这个地方会出现塞牙,容易造成烂牙!
4.缺失牙
因各种原因导致的牙齿脱落或拔牙,没有及时镶牙或种牙,会造成塞牙。牙齿缺失后,咬合的牙齿失去了咬合阻力,常常会伸长出来,而失牙两侧的牙齿发生移位,更容易出现塞牙。
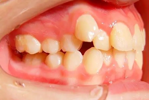
5.牙齿排列不齐
牙齿不齐,不仅拉低颜值,还很容易塞牙,多出现在全部恒牙换好之后。如任其自然发展,容易造成塞牙,并会有其它一系列的口腔问题。
6.义齿
又称假牙,如果假牙在制作过程中与相邻牙齿之间的邻间隙封闭不良,会引起塞牙。由于安装的假牙对局部牙龈刺激导致了牙周炎和牙龈萎缩,继发导致塞牙。
7.生理性塞牙
人的第一副牙齿叫乳牙,乳牙外形短小,比较圆滑,乳牙萌出后大小不变。但小孩发育很快,骨头会慢慢为恒牙萌出变大,健康的小孩到了3、4岁,本来牙齿没缝的地方慢慢长出牙缝,因此很容易塞牙,这种生理性的塞牙叫乳牙期塞牙,是必须发生的,是好事,是为恒牙替换做准备。
但这类塞牙会导致孩子牙龈不舒服,乳牙本身矿化程度低,加上年龄小对刷牙不熟练,这种塞牙容易被残渣腐蚀,容易长龋齿。
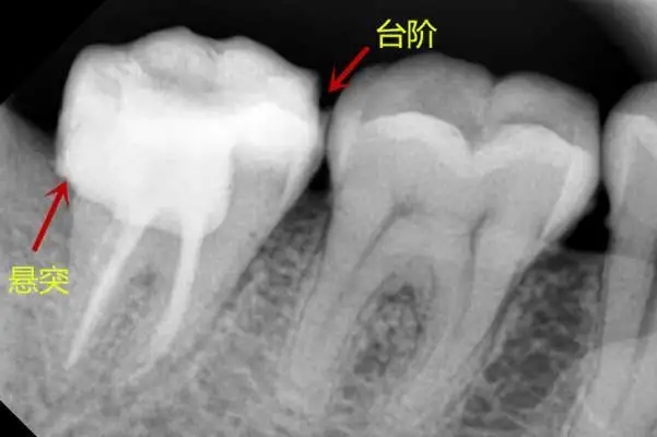
8.悬突
因为补牙引起。补牙分为窝洞制备和填充两个步骤,在填充时如果补牙的邻面充填物不光滑并有突起,就会刺激牙龈引起炎症,从而会引起塞牙。
塞牙有哪些危害
1.牙缝越来越大;经常塞牙的两颗牙之间的缝隙势必会被越撑越大,使患者出现强烈的不适感。
2.口臭;食物长时间塞在牙缝里发酵容易出现异味儿,即口臭。
3.牙齿敏感;经常塞牙的两颗牙齿会越来越敏感,比如吃冷、热的食物,牙齿会有酸爽的感觉。
4、龋齿;塞在牙缝里的残留食物的细菌会慢慢腐蚀两侧的牙齿,进而出现龋齿。龋齿不断加重会发展成牙髓炎、根尖周炎等。
5、牙周病;塞牙时间长会刺激牙龈,引起牙龈炎,继续进展可能形成牙周病。从而使牙龈萎缩、牙槽骨吸收、牙齿松动,最终导致牙齿不得不拔掉。
经常发生塞牙怎么办?
一旦发生塞牙,有必要使用各种方法将卡进去的食物尽快清除。但不建议您使用牙签(使用牙签好比吸毒,一旦依赖上牙签这种简单粗暴的剔牙方式,后面戒掉可就有点难了),可使用牙线、冲牙器等辅助清洁工具。
如果频繁出现“塞牙”现象,首先要想的不是剔牙,而是看牙医!去专业口腔机构进行检查,找出塞牙的原因对症下药,才能从源头解决“塞牙”问题!

扫码下载APP
科普中国APP
科普中国
科普中国