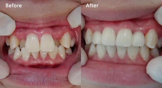
牙齿不齐,普遍被认为不美观
却很少有人知道
“参差不齐”的牙齿竟然还这么脏
▽▽▽
如果更严重一点,有可能是这样
▽▽▽
牙齿周边积聚着大量牙结石
并伴有口腔异味,牙龈红肿明显
时间一长
很可能造成牙齿松动、甚至脱落……
原来“牙齿不齐”的危害还真不少
今天就带大家了解“牙齿不齐”背后隐藏的口腔问题
为什么“牙齿不齐”的人越来越多?
① 人的进化:许多器官发生退化,咀嚼肌退化最明显,颌骨次之,而牙齿的退化最不明显。如此相对较小的牙槽骨就无法容纳相对较大的牙齿,导致牙齿不齐。
② 环境因素:比如小孩子吮指、伸舌、吐舌、咬下唇、口呼吸等不良习惯得不到纠正,就会使牙齿萌出或位置排列产生不良影响。
为什么说“牙齿不齐”易造成牙结石和蛀牙?
牙齿不齐危害真不小!
① 拉低颜值,影响脸型。小鸟嘴,兜下巴……难看的牙齿总是丑得各有千秋;
② 咬合异常,身体遭殃。食物得不到充分咀嚼,不仅肠胃要遭罪,还会危害身体健康;
③ 令人自卑。牙齿不美,不敢肆意微笑,还容易因此自卑,影响心理健康发展。
④ 影响口腔健康。清洁死角多,邻面龋、蛀牙、牙周病频繁拜访。
之所以说“牙齿不齐”易造成牙结石和蛀牙,原因是牙齿不齐时,吃东西会卡在牙缝里,由于牙齿排得太 “崎岖”,刷牙很难刷到这些死角,因此容易堆积食物残渣和细菌,久而久之就会导致结石和蛀牙等口腔疾病。
牙结石像小石头一样坚硬!光每天2~3次的刷牙,是不能清除的!所以,为了保护我们的口腔,需要每半年定期做一次大扫除,也就是俗称 “洗牙”!“洗牙”的同时也做了口腔检查,可清楚地了解自己口腔的状况。
当然,牙齿不齐的小伙伴,想要同时实现牙齿美观和口腔健康,还得从根源下手——牙齿矫正。
“牙齿不齐”怎么矫正?
根据拥挤的程度不同,“牙齿不齐”又可分为轻度、中度、重度拥挤,不管是哪一种情况,为了口腔健康,我们建议都进行牙齿矫正。
● 轻度拥挤,可采用不拔牙矫治,矫治时间相对较短。
● 中度和重度拥挤,一般采取拔牙矫治。由于需要关闭拔牙间隙、调整咬合关系,矫治时间相对较长。
当然“牙齿不齐”属于哪一个情况,需要专业的正畸科医生帮您分析哦。
“牙齿不齐”如何选择矫正方案?
一般来说,牙齿矫正费用大概在几千到几万元之间,很难用一个具体的数字来供大家参考,牙齿情况、矫正难度、牙套的选择等都会影响到费用。但您可以大致了解矫正的方式:
01、传统金属牙套
使用金属托槽,粘结在牙齿上,对牙齿施加轻微的力,进行移动、排齐,达到理想的位置和效果。各类正畸问题基本都适用,适合经费有限不是很介意美观度的小伙伴。
优点:历史悠久、技术成熟、效果稳定、经济实惠
缺点:美观性、舒适度欠佳
02、半隐形牙套
这种和钢牙套相似,相比之下提升了美观度,把金属托槽换成了陶瓷托槽。
优点:美观度比传统金属牙套要好一点
缺点:舒适度有待提升,摩擦力较大,易破损
03、舌侧牙套
舌侧矫治器顾名思义,是把钢牙套或者陶瓷牙套装在了牙齿舌侧面。
优点:技术相对先进,因为把钢牙套装在了牙齿舌侧面,所以美观度提升很大
缺点:口腔卫生保持难度大,医疗难度高,初期会影响发音
04、隐形牙套
通过计算机模拟牙齿排齐过程,模拟牙齿移动,制作出一整套矫正压膜,对牙齿施加力量,逐步将牙齿排齐。
优点:舒适,美观,可自由摘戴
缺点:适应范围有限,患者配合度要求高
牙 医 建 议:
由于每位患者牙齿不齐的严重程度不同,其矫正方案也不同。建议大家向临床经验丰富的正畸科医生咨询。医生会根据牙齿的拥挤程度、患者年龄、健康状况、颌骨及肌肉的发育情况等综合考虑,确定出一个明确而完善的矫正方案。
另外,很多朋友想矫牙,但是担心年龄大,效果不好。其实决定你能不能矫牙的关键不是年龄,而在于全身及口腔的综合条件。只要没有影响正畸的系统疾病,没有严重的牙周或颞下颌关节疾病,所有年龄段原则上都能矫正。

扫码下载APP
科普中国APP
科普中国
科普中国