蝌蚪君又双叒在新闻中看到采耳后感染脚气的奇葩案例。
其实,耳朵中招事故年年有,不仅是采耳后,自己掏耳朵也有可能感染脚气,长出绿毛白毛。如果再心大一点,什么稀奇古怪的东西都有可能从耳朵内“长”出来。
蝌蚪君就带大家来盘盘,这小小的耳朵,都是如何让我们操心的。
01 不讲卫生篇
采耳不仅需要人员的操作手法专业(要避免划坏耳道),还对卫生有着很高的要求(器具严格消毒)。如果捏了脚转身就去掏耳朵,或者自己用不消毒的挖耳勺采耳,都很有可能会同吴先生一样耳朵长脚气,还可能会长出白毛、绿毛、黑毛!
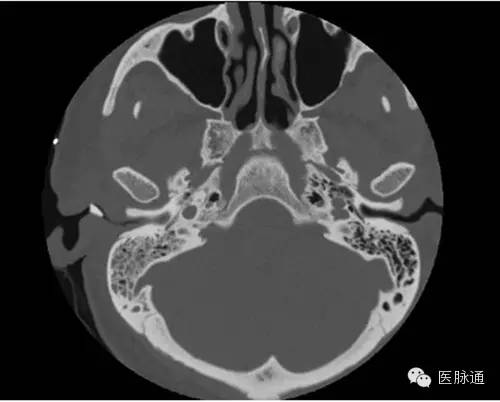
事故一: 医生诊断女孩为霉菌性外耳道炎,因为不确定菌种,还需要进行分泌物培养,再对症下药。 事故二: 杭州60岁一大爷也遇到了耳朵长毛的情况。章大爷前一天自己掏完耳朵,第二天耳朵就痛痒难忍,前来就医。 霉菌性外耳道炎和吴先生的脚气进耳朵是一个道理,都是真菌感染,只不过致病菌可能会不同。脚气的病菌多为红色毛癣菌、石膏样毛癣菌、絮状表皮癣菌、犬小孢子菌、石膏样小孢子菌、白色念珠菌......而耳朵的致病菌多为以曲霉菌、念珠菌、青霉菌及毛霉菌。 不过相同的是,这些菌都可能因为工具而带入耳朵,并在耳朵里落地生根...... 根据不同真菌种类,耳朵长出的“毛”颜色也会不一样。 曲霉菌、青霉菌感染,菌落的“毛”会是绿色的。 念珠菌、毛霉菌感染,“毛”会是白色的,程度轻的能看到一些霉丝和霉点,严重的可能会有一些脓性分泌物。 还有黑色的“毛”。不过这可能不是单一感染了某种真菌,还可能是:耳屎堵在耳朵里时间太长,让它在外耳道内潴留局部发生氧化了;陈年血痂被抠了出来;感染了黑色真菌后的团块;黑色素瘤之类的疾病(不过一般抠出来的会是黑色新生物,大多数伴有疼痛和出血)。 其实真菌进耳朵,在多数情况下都可以避免。 比如减少掏耳朵的次数。“耳屎”耵聍是保护着我们的耳朵的,它呈弱酸性的,有抑制真菌生长的作用,如果频繁掏耳朵,将耳道清理得过分干净,就会使耳道失去一层保护屏障。 用一次性采耳工具,减少交叉感染的可能。耳道也有着自己的微生物环境,当表皮葡萄球菌和棒状杆菌占多数时,耳道会更健康。如果霉菌进入耳道,菌落的平衡破坏,耳道就会真菌感染。 表皮葡萄球菌正常存在于人的皮肤、鼻腔及肠道中 棒状杆菌 如果实在觉得耳朵被“堵”住了,难受得不得不掏,又不敢自己掏,可以挂耳鼻喉科,让医生来一波专业操作! 02 硬核异物篇 玩具零件、泥土、木块金属块......总有些硬核异物在不断突破耳朵的感受。 事故三: 24岁的于先生掏因为耳朵掏不动而到医院检查,医生发现他的耳道里竟然有个算盘珠! 回溯起来,原来这颗算盘珠是他自己10岁的时候塞进耳朵的,因为当时怕被家长骂就没说而不了了之,于是这颗珠子就在于先生的耳朵里安安静静地躺了14年。 事故四: 重庆市民彭女士在给六岁的儿子豪豪掏耳朵时,发现他的耳朵里好像有异物,于是便把他送到医院检查。 医生在豪豪耳朵里取出了一棵植物种子,并且已经发芽! 医生表示,耳道里的温度是37度左右,再加上比较湿润,是适合种子生长、发芽的,这种情况如果再晚些就医,很可能会对孩子的听力造成损伤。 事故五: 以及这位心大患者,用金属硬物抠耳朵,但是金属却塞到耳道深处拿不出来了。 左方耳道亮光为金属异物,图片来自医脉通 耳道是用来传递声波的,有着一定的长度和宽度,大概长度2.5-3.5cm,粗0.7cm 左右,别看小小的几厘米,却有可能因为它弯曲的形状而藏住小东西! 成人的耳道走形略成“S”,先向前上弯曲,然后向后下,再向前下 不过为了避免进异物,耳朵也有着对策。耳道内的皮肤上分布着毛囊和耵聍腺,耵聍腺会分泌一定量的耳屎来粘附灰尘和进入的外物,耳朵里的小绒毛也会阻挡异物进入。 其实耳朵在一般情况下并不容易进入异物,如果进了东西,多数当时就会感到疼痛。 但因为每个人的外耳道长度不一样,进了东西后感受也可能不同,有的人会有异物感、阻塞感、听力改变等症状,也有的人当时感觉不到异常。 所以,蝌蚪君叮嘱一句,如遇耳朵进了异物又拿不出来,一定要及时去医院,免得自己的胡乱操作损伤了听力! 03 恐怖爬虫篇 事故六: 大连市中心医院接诊了一位60多岁的男性老人,他在前一晚睡觉时感觉耳朵里面不舒服,但没在意,第二天醒来耳朵里就像敲鼓一样。 医生检查后发现老人的耳道被一层白雾一样的絮状物封闭了,像网一样的这层絮状物背后,一个类似虫子的活物在不断地动。 原来是进入耳道的蜘蛛已经在里面结了网! 医生用专用的耳道清洗器向老人的耳道内注水清洗,一只绿豆大小的蜘蛛才被冲洗了出来。 想要避免自己碰到样的恐怖情况,最有效的办法就是保持家中卫生干净,多做蚊虫的消杀。尤其在家里经常见到小飞虫、瓢虫、蚰蜒(俗称草鞋底)、小蟑螂,需要格外保持警惕,这些虫子尤其喜欢温暖潮湿的人类耳朵! 但是如果真的遭遇虫子进耳道,千万别用土办法解决,比如滴香油、食用油、醋,还有用手电筒照亮,吸引虫子…… 这样不仅不科学,还容易造成耳道感染,让耳道内的情况更加复杂,给治疗带来难度。 04 悲伤事故篇 虽然“做完手术落下了纱布”这种传说级的事故,在普通外科手术上鲜有发生(每一场外科手术都会清点医疗用品数量),但在耳朵手术里发生的概率的确会比普通手术更高。 耳科病人做完手术后,进行术后调理和康复时一般会给病人耳部覆盖上无菌纱布,用来包扎敷料、消毒或保护手术部位,这也给将纱布、棉花误留创造了机会。 不过随着医疗水平的提高,这种小概率事件以及极少发生了,大家不必过度担忧。 05 避免耳朵生长奇怪的东西 要养成正确的卫生习惯 很多人比较享受掏耳朵的过程,前往采耳店、足疗店、按摩店掏耳朵,觉得掏完身心轻松,非常解压。 但是顾客们都同用一套工具,万一遇到消毒不到位的情况,采耳就变成了“真菌杂烩”,如同足疗传染脚气,采耳也容易将上一个客人的“耳气”带回家。 当然,也别矫枉过正,用耳毛来挡住异物(一般人做不到)。 世界上最长的耳毛50公分,其实他是患了“传男不传女”的人类外耳道多毛症 如果真的感觉自己的耳屎太多,有种堵了东西的感觉,甚至了影响听力,在医学上这种情况叫做耵聍栓塞。可以前往正规医院耳鼻喉科挂号,医生将会用药水、无影灯、内窥镜等工具进行安全可靠的“掏耳屎”(据说掏过的人在看到“成果”时都非常的爽),蝌蚪君也想尝试一二! 你耳朵曾经进过东西吗?你有听闻过身边朋友耳朵进过奇葩东西吗?他们都是怎样处理的呢?快在评论处告诉蝌蚪君吧! 审核专家:袁先道,首都医科大学北京安贞医院耳鼻喉科副主任医师,医学博士。 来源:蝌蚪五线谱

扫码下载APP
科普中国APP
科普中国
科普中国