健康,是人们最渴望得到的。而癌症则是挡在大众追求健康路上的“拦路虎”,许多人甚至“谈癌色变”。如果说肿瘤是“拦路虎”,那么癌症转移在老百姓眼里可能就是“史前巨兽”了,认为“转移”二字意味着癌症晚期和丧失治疗价值,甚至只能被动等待死亡。那么癌症究竟是如何开始扩散的?为什么会转移?转移了就真的无药可救了吗?
癌症转移就真的无药可救了吗
癌症是体内正常细胞在遗传、环境等一系列因素下发生变异演变而来的,具有无限增殖能力和极强的侵袭性,因此癌细胞基本上都会发生转移。一般来说,当肿瘤生长到1厘米~2厘米,肿瘤细胞过度集中在身体有限的微环境中时,癌细胞启动特定的基因并开始形成类似于血管的结构,以滋养自身的生长,就开始了癌症转移扩散。恶性肿瘤细胞不仅可以通过直接侵犯转移到邻近的组织或者器官,还能通过血液转移、淋巴结转移以及种植转移等途径向远处的各个器官侵犯,导致不单是某一器官或部位的损伤,而是引起全身多器官各组织的系统性损伤,从而导致身体机能衰减。这么看,肿瘤发生了转移,是不是就真的无药可救了呢?
答案是否定的,虽然肿瘤的转移在一定程度上说明肿瘤分期常处于中晚期,但并不代表患者已被宣判死刑。随着医学的发展,很多之前预后较差的恶性肿瘤有了治疗效果更好的靶向药和治疗措施,甚至还有许多针对转移性肿瘤的治疗手段,比如抑制骨破坏的药物、局部微波处理病灶等,甚至直接针对转移病灶的切除,很多时候也被证明是有效且必要的。
疼痛意味着癌症发生转移了吗
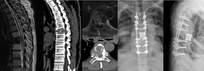
骨是恶性肿瘤常见的转移部位,而脊柱又是骨转移最常见的部位,作为脊柱外科医生,接下来我们就来和大家聊聊脊柱转移性肿瘤的常见表现以及治疗方法。
疼痛是脊柱转移性肿瘤患者最常见的症状。看到这里也许有不少人又要脸色大变了:我也经常腰疼,那我会不会也得了肿瘤呢?出现下面两种情况时要当心:一种情况是已经有过其它部位肿瘤病史的患者,有的甚至已经开过刀,或者做过放化疗,如果近期出现了莫名的腰背痛、颈痛等不适,而且夜间疼痛更为明显,甚至卧床休息也不能很好地缓解,就要警惕是否发生了脊柱转移,最好到医院进行详细的影像学检查;另外一种情况是,一些之前没有发现过肿瘤的患者,在轻微外伤甚至没有明显外伤的情况下出现明显的颈痛、腰背痛,或者由之前的隐痛突变为剧痛,严重的出现肢体的麻木、疼痛、肌力下降甚至大小便困难或失禁,也要高度怀疑有脊柱转移性肿瘤。此时应立即到医院就诊,临床上不乏以脊柱骨折或者神经压迫为主要症状的患者,经影像学检查后发现是脊柱肿瘤,再继续追踪来源才发现其它部位原发肿瘤的患者。所以不要因为腰疼就过分担心自己得了肿瘤,而是应该理性地前往医院接受检查及治疗。
脊柱转移性肿瘤的危害主要在于会产生轻微外伤甚至无外伤情况下的病理性骨折,从而导致剧烈的疼痛。如果肿瘤或骨折块直接压迫神经脊髓就会导致肢体的疼痛、麻木、肌力下降、大小便障碍等,肿瘤严重压迫者甚至可能截瘫。这些都会给患者带来巨大的痛苦,为家庭带来沉重的负担。因此,我们针对脊柱转移性肿瘤的治疗就是为了避免发生以上情况而采取的主动出击的方式。
那么,我们如何治疗脊柱转移性肿瘤呢?其中一个很重要的措施就是手术。近年来,针对脊柱转移性肿瘤,已有了微创椎体成形术、微创经皮内固定术、微创椎管减压经皮内固定术、椎管减压肿瘤脊髓神经分离术、肿瘤大块切除术等解决方法,更是有了全脊椎整块切除术这一脊柱外科最高难度及风险系数的手术。

针对转移性肿瘤,复旦大学附属中山医院专家的这份秘笈,您get到了吗?
作者:庄晨阳 李娟 林红
指导:董健
单位:复旦大学附属中山医院骨科
复旦大学医学科普研究所
本文受以下项目资助:上海市科委科普项目
(编号:20DZ2312000)
上海市卫健委优秀学科带头人项目
(编号:GWV-10.2-XD11)

扫码下载APP
科普中国APP
科普中国
科普中国