不知道没事儿喜欢种些花花草草的童靴有没有遇到过这样的现象:
植物上的花长着长着就变了样,仿佛中了诅咒一样,从花朵变成了叶子。
来源:www.reddit.com
紫松果菊的花朵变成叶子
来源:upload.wikimedia.org
有些即便形态没有太大改变,但花朵却失去了原本艳丽的色彩,取而代之的是和叶片相同的绿色。
来源:www.fao.org/© Dr. Vinodkumar Selvaraj
好好的花朵怎么说变样就变样?又是什么导致了花朵发生如此诡异的变化呢?下面就让我们来一起看一看吧!
+ 花 朵 变 身 叶 子 的 秘 密 +
左侧为正常花,右侧为花变叶
来源:myeducationofagardener.wordpress.com
早在1790 年,著名的德国诗人约翰·沃尔夫冈·冯·歌德 (Johann Wolfgang Von Goethe) 就描述了花朵变成叶子的奇怪现象,他发现蔷薇花的花器官被叶状和茎状结构所取代,由此提出了植物形态学原型理论,也可称“叶子理论”。
这一理论认为植物是从最简单的叶子演变而成,所有会变化的器官也许都可以看作潜在的叶子。只不过,遗憾的是,这一理论在当时并不被认可。
来源:en.wikipedia.org
随后,一些科学家也相继描述了在其它植物上发现的类似情况。1869年,英国植物学家Maxwell T. Masters将这种现象命名为“Phyllody”,即花变叶。
矮牵牛花的雄蕊变成“带梗”的叶子,叶梗实际上是雄蕊的保留花丝,而花药已被小叶取代
来源:《Vegetable Teratology》插图
在探寻花变叶背后的秘密时,一开始人们认为是环境因素,如高温、干旱等使植物在开花期间激素失衡,从而造成开花异常。
来源:en.wikipedia.org
不过随着研究的进一步深入,科学家发现了另一种导致花变叶的可能。原来当植物受到植原体侵染时,也会出现花器变态(花变叶或花瓣绿变)。
来源:en.m.wikipedia.org
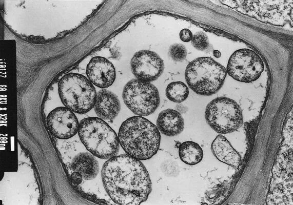
植原体(phytoplasma)是寄生于植物韧皮部、无细胞壁、尚未能人工分离培养的一类重要原核致病菌。
植原体菌体大小为80~1000 nm,常呈圆球形或椭圆形,但当它在韧皮部筛管中或穿过细胞壁上的胞间连丝时,则可变为丝状、杆状或哑铃状。
来源:dna-barcoding.blogspot.com
它的寄主范围广泛,在世界各地造成的受害植物种类达近千种,我国已报道的植原体病害就有100多种。
来源:plantpathology.ba.ars.usda.gov
植原体最早是由日本学者土居养二从桑萎缩病的病组织切片中发现的,最早被称为类菌原体,后改为植原体。
在国内,除桑萎缩病外,还有枣疯病、泡桐丛枝病、苦楝丛枝病、泡桐丛枝病、水稻黄萎病、水稻橙叶病和甘薯丛枝病等,都是常见的由植原体侵染所致。
枣疯病症状 来源:www.sciencedirect.com
枣疯病可以造成花器退化返祖,有些病株萼片、花瓣、雄蕊发育成小叶,呈花变叶状;有些病株萼片、花瓣变为绿色,雄蕊和雌蕊败育,呈绿瓣状。
不同植原体引起的植物病害症状,除了上面提到的典型的花器变态外, 还包括丛枝、叶片黄化或变红、簇顶、丛生、节间缩短、小叶、矮化、萎缩、韧皮部组织坏死、 枯枝及植株长势衰退和死亡等。
丛枝,远远看去像在是树上搭了一个鸟窝
来源:www.forestryimages.org
来源:dna-barcoding.blogspot.com
自然条件下,植原体主要靠具刺吸式口器的昆虫如叶蝉、飞虱、木虱等传播,且病菌能在昆虫体内繁殖和终生带毒。另外,营养繁殖和嫁接也能造成病害传播和流行。
凹缘菱纹叶蝉是桑萎缩病的媒介昆虫之一
来源:www.natureloveyou.sg
当然,植物花朵变成绿叶状也不全都是坏事,最起码给了育种专家带来了许多灵感,就像我国古老的月季品种“绿萼”,就是花变叶的典型代表。
来源:en.wikipedia.org
emmm,只不过送花的时候会有些尴尬......
图片来源:Google 来源见水印 于少帅,徐启聪,林彩丽等.植原体 遗传多样性研究现状与展[J].生物多样性, 2016, 24 (2): 205–215 如有侵权 联系删除 本期小编:桃花岛主 原创作品 欢迎个人转发到朋友圈 来源:人呆手户

扫码下载APP
科普中国APP
科普中国
科普中国