猝不及防!“我只是啃了一口苹果,怎么果肉上有血丝?”、“我刷牙出血了,嘴里有一股咸咸的血腥味...”这时的你不禁要问:牙龈出血了,我该怎么办?
牙龈出血是口腔常见症状,也是最容易被大众忽视的症状之一。牙龈出血可在许多情况下出现,例如刷牙、使用牙线/牙签/牙间隙刷、吮吸或咀嚼较硬食物时,甚至在没有任何刺激的情况下自发出血。根据2018年出版的《第四次全国口腔健康流行病学调查报告》,35-44岁居民中,牙龈出血检出率为87.4%,但知道“刷牙出血不正常”的人仅占68.7%。

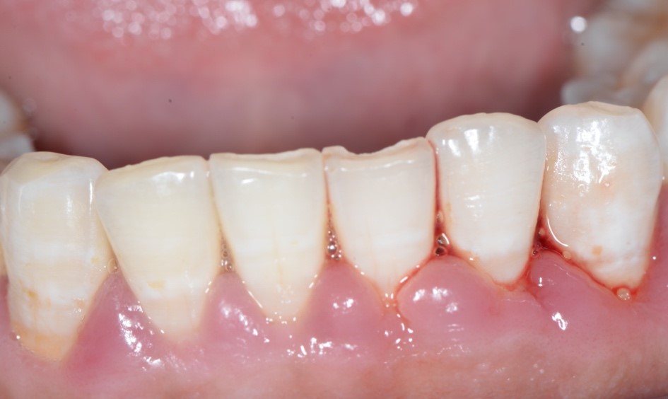
图1:牙龈出血
为什么会牙龈出血?
1、牙龈出血是“上火”吗?
“上火”是一种民间俗语和中医概念,较为笼统地描述身体内某些热性症状,作为牙龈出血的病因并不适宜。
2、牙龈出血是缺“维生素”吗?
有一定联系,如缺乏维生素C、K等,但并非牙龈出血的主要原因。
提起牙龈出血,很多人会有以上的疑问,那牙龈出血的原因到底是什么?主要包括以下几个方面:
(1)牙周病(牙龈炎或牙周炎等)
(2)全身疾病(血液系统疾病、糖尿病、肝肾功能异常、肿瘤等)
(3)服用药物(抗凝血药物等)
(4)生活习惯(吸烟、营养不良等)
(5)外伤(刷牙用力过大或使用硬毛牙刷等)
其中,导致牙龈出血最主要的原因是牙周病,包括牙龈炎或牙周炎。牙周病是人类最常见的疾病之一,它是一类感染炎症性疾病,由牙菌斑生物膜感染及人体免疫炎症反应失衡引发。牙周病是我国成年人失牙的主要原因,并且与糖尿病、心血管疾病等多种全身疾病密切相关。严重的牙周炎患者常面临多颗牙缺失、咀嚼功能障碍等问题,严重影响患者自身的营养、生活质量、言语及美观等。
由于严重牙周病对口腔及全身健康的危害很大,因此预防和早期治疗至关重要。但牙周病是一种相对“沉默”的疾病,很多时候患者并没有感到明显的不适,然而牙周病其实在逐渐进展。值得关注的是,牙龈出血是牙周病的早期迹象和预警信号,因此意识到牙龈出血的问题并寻求专业的诊疗有助于牙周病的早期防治。

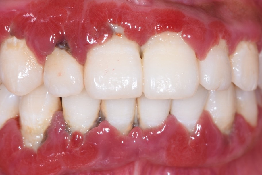
图2:长期口腔清洁不到位,牙菌斑、牙石堆积,刺激牙龈肿胀充血发炎
牙龈出血怎么办?
1、除了出血,我没什么感觉,是不是可以不用管?
牙周病是相对“沉默”的疾病,出现牙龈出血一定要及时就医。牙周病可防可控,及早就诊有助于牙周病的有效治疗和长期维护。
2、超市有很多止血功能的牙膏,可以用吗?
止血牙膏短期或许有效,但可能会掩盖牙龈出血的原因,并不解决根本问题。
为有效预防和治疗牙龈出血,应坚持做到以下几点。
(1)每天正确刷牙,使用齿间清洁工具(牙线、牙间隙刷),控制牙菌斑
(2) 定期拜访口腔/牙周专科医生,进行检查和维护
(3)提高自我健康意识,养成健康的生活习惯

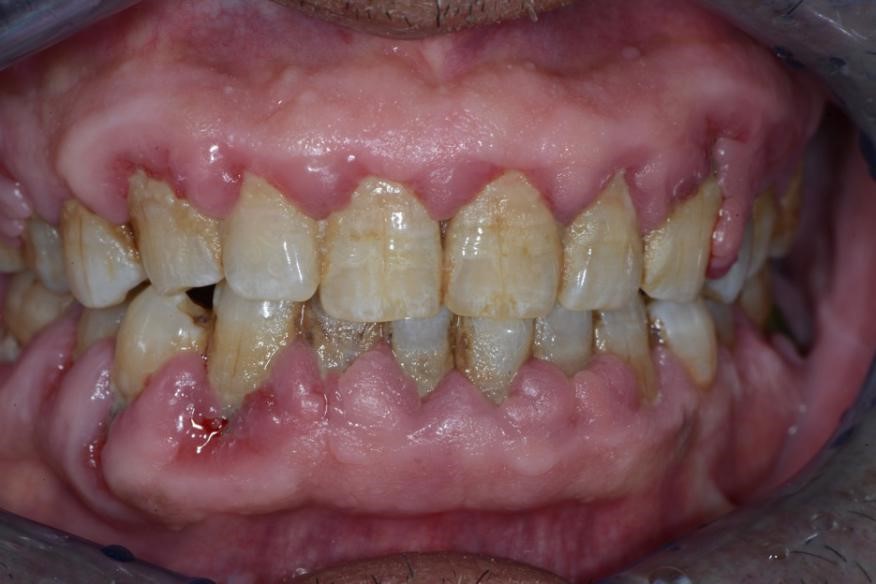
图3:牙周炎治疗前

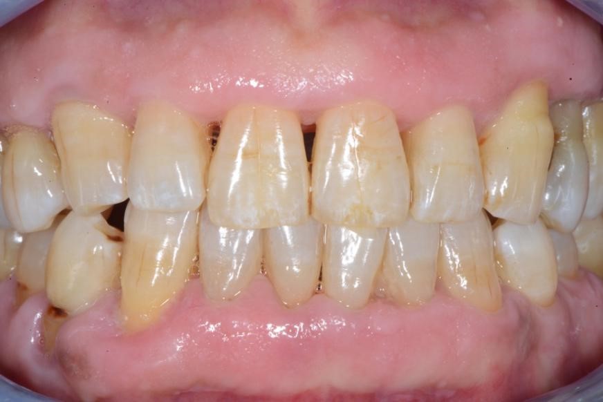
图4:牙周基础治疗后
附: 中华口腔医学会关于“口腔清洁指导”的系列视频链接

扫码下载APP
科普中国APP
科普中国
科普中国