牙齿受到剧烈碰撞,特别是遇到打击或撞击时所造成的牙齿损伤,医学上称为牙外伤。大多数是儿童在户外活动或体育运动时发生,如在活动时不慎摔倒、相互肢体碰撞、磕碰硬质物体等,交通事故、打架斗殴也有可能导致牙齿外伤。


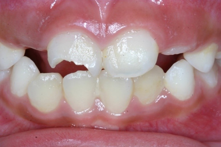
牙齿外伤最容易发生在上面的门牙,遇到撞击时首当其冲。被撞的牙齿或缺损、或缺失、或折裂、或移位,伴有剧烈疼痛,有时牙齿周围牙龈也破损开裂鲜血淋漓,严重时牙神经受到剧烈震荡而死亡。

乳牙发生外伤可能会影响以后恒牙的发育和正常萌出,出现恒牙发育畸形、萌出顺序混乱、牙齿排列不齐等。年轻恒牙发生牙外伤,对儿童的咀嚼、美观、发音以及生长发育都会产生不良影响。

积极预防牙外伤非常重要,而意识的提高最为关键。儿童要有遵守规则的意识,避免激烈的行为,家长应该在日常生活中帮助儿童尽量避免牙外伤的发生,老师更应该在学校活动场所做好牙外伤防护工作,掌握基本的预防手段。
大部分的牙外伤发生在校外,日常生活中,注意不要追逐打闹,尤其是在楼梯、走廊等危险狭窄的地方;玩耍时,不要用石子、碎砖块等危险物品互相投掷;乘坐交通工具时,应当系好安全带;骑自行车、摩托车时,还应当佩戴头盔;遇到打架斗殴的情况,应注意躲避,千万不要主动参与进去。
参加体育活动和游戏时,最好穿胶底防滑的运动鞋,防止跌倒摔跤;在进行滑板、轮滑、滑冰、骑自行车等高速度、高风险运动或篮球、拳击等强对抗运动时,应佩戴防护牙托等防护用具,降低牙齿受伤的风险;观看篮球、足球等比赛时,保持安全的距离,避免被球砸伤,如果无法躲避,应当用双臂抱头,避免被球直接砸到面部。

对于儿童活动场所,要有防护措施。场地应该足够宽敞明亮;地面应该平整并做软化处理,如铺设塑胶材料,或者铺设草坪;器械和设备的边角应有软性材料包裹;摔跤和体操等运动场地要有软垫保护;学生在进行较为激烈的活动时,应该有人员在边上保护。
如果发生了牙外伤,应当马上到医院检查。发生牙齿折断应保留断裂的牙片,流水冲洗干净后浸泡在清水中;如果牙齿脱落,先冲洗干净牙齿,不要用手触碰牙根,然后将牙齿浸泡在新鲜的牛奶或者生理盐水中,或含在口腔中;以上这些完成后应即刻就医。


作者:
上海交通大学口腔医学院 冯希平 陈曦
中华口腔医学会 口腔预防医学专业委员会 供稿
本文图片出自人民卫生出版社《影响孩子一生的事——儿童口腔保健》

扫码下载APP
科普中国APP
科普中国
科普中国