25岁的小王,平时就有生食东西的习惯。尽管家人也劝他要注意,但他仗着自己体格好,根本听不进去别人的劝说。
突然有一天,他感觉腹痛剧烈,主要集中在右上腹。
剧烈的疼痛,让他没办法再坚持了。这次,他不得不走进医院。
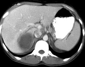
到了医院,一番检查下来,一个令人震惊的事实摆在面前:他的肝上有一个巨大的囊肿。
按照医生的说法:正是因为这个囊肿的迅速生长,才导致他突然肝区疼痛的。
尽管不愿意承认,但是他不得不接受这个事实。很快,他就办理了住院手术。手术计划,也顺利提上日程。
手术开始之后,一切如常。直到外科医生不小心切破了囊壁……
正在密切监测小王各项生命指标的麻醉医生,突然站起来,重新测量了血压。
在他看来,此时患者的生命体征是完全不正常的:麻醉深度一直很稳定,各种药物也都正常泵着,患者的心率没有理由突然加快呀!令他紧张的是,不仅心率有明显变化,血压突然测不到了。不仅如此,脉搏氧饱和度上的波形变得非常低矮。这就意味着,此时患者的血压可能极低!
想到此,麻醉医生后背的汗“唰”地一下就下来了。但是,他并没有停下动作:就在血压袖带还在努力测量血压的时候,他已抽好了一支药。
看着一点一点放气的袖带压力,凭借多年的经验,他已经高度确定血压确实很低了。因此,他把注射器抵在了点滴注药口上,只等血压值出来。
随着屏幕上打出不到80的血压,一针升压药迅速注射进了患者小王的血管内。
联想到这是一台肝囊肿手术,麻醉医生立即询问外科医生手术进展情况。当得到的回复是“囊肿壁破了”的答复后,他又立即抽了一支抗过敏、抗休克的药物。
随着药物的起效,小王的生命体征重新回归正常。
看到患者没事儿了之后,外科医生满脸堆笑道:我们忘了告诉你们麻醉科了,这是一个阿米巴脓肿。
听到“阿米巴脓肿”这个词,麻醉医生差点喷出一句脏话。要知道,这个囊肿是绝对不能破的。一旦破了,囊液很有可能迅速引发患者出现过敏以及休克。如果处理不及时,很有可能有生命危险。
之后的手术,倒没有什么特别的。麻醉医生逐渐降低了升压药后,小王的循环体征各项指标都没问题了。
经历此风波,大家也不再那么轻松,需要一个过程缓一缓。
半小时后,手术结束,小王被送到重症监护室延期拔管。
【知识点】阿米巴肝脓肿是由于溶组织阿米巴滋养体从肠道病变处经血流进入肝脏的。肠道阿米巴病主要由于食入被包囊污染的食物或水而引起。但是,大家也不要过于担心:阿米巴包囊对热和干燥较敏感,加热50℃几分钟即被杀死。因此,只要做到尽量吃熟食以及注意个人卫生就可以了。

扫码下载APP
科普中国APP
科普中国
科普中国