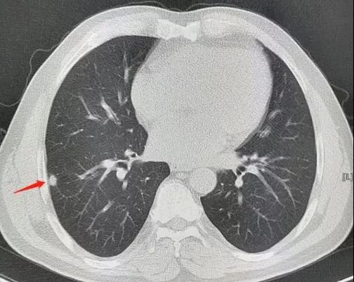
问题一:X线、CT不是有辐射吗,为什么常规体检还要照片和胸部CT?
答:电离辐射存在于日常生活每一处,包括宇宙射线(如太阳光等)、地铁安检、坐飞机、吸烟等,每年或隔年做一次放射体检所受的剂量,不足以为惧。
问题二:磁共振没有辐射又清楚,我有钱为什么不给我做肺部磁共振?
答:不同于身体其他器官,对于肺部的疾病最好的检查就是胸片和ct,磁共振可以检查全身绝大多数器官,但唯一的短板就是肺,对于肺部的常规影像检查,目前胸片或ct是首选。
问题三:胸片和胸部ct有什么区别,该如何选择?
答:相比胸片而言,ct的精确性更高,特别是对于早期肺癌的发现上,只有ct才能给出提示。所以,如果是年轻人,需要排除结核感染等可以做胸片,如果是想看的更细,筛查早期肺癌,则需要做胸部ct。
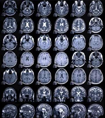
问题四:优选套餐里加做的头部及颈椎的磁共振主要看什么,有什么意义?
答:对于脑的显示,磁共振十分优越,可以看梗塞、肿瘤、出血、畸形等众多脑部疾病,并且脑部疾病大多可无症状,不管年轻人还是老年人,磁共振检查都可以发现脑内绝大多数疾病,尤其是对于一些(如动脉瘤等)无症状但有生命威胁的隐患病症发现并及时治疗。同时,一些看似头部的症状(例如头晕、眩晕等),有时其实是颈椎或脊髓的问题,从而头颈配合检查,可以更加精确诊断、更大程度避免病变遗漏。
温馨提示:
为了提高早期肺癌诊治率,胸部放射检查已纳入常规体检,随着临床病例肿瘤发病愈趋年轻化,省二中医院医生建议,超过35岁的人群体检建议常规做胸部ct,对于青少年如入学、入职体检,可做胸部x线平片。

扫码下载APP
科普中国APP
科普中国
科普中国