这个人我们可能都不陌生,她就是曾担任英国首相长达11年的撒切尔夫人。
除撒切尔夫人外,美国前总统罗纳德·里根,《百年孤独》的作者马尔克斯,诺贝尔奖得主,“光纤之父”高琨,也都是阿尔茨海默症患者。
如果这种疾病会“无差别”地影响政治家,艺术家和科学家,那它离我们这些普通人的生活,又有多远?
1. 阿尔茨海默症是什么?
要讲清楚阿尔茨海默症,我们得先简单说说大脑。
我们的脑神经系统包含了大量的神经元,无论是简单的呼吸和运动,还是驾驶飞机或创作《红楼梦》这种复杂的活动,都离不开借助这个庞大系统完成的信息传输。
在这些神经元内部,信息主要以电脉冲的形式传递。所以我们的大脑,其实也可以近似的看成一大团缠绕不清的电线。
而在神经元通过树突接收其他神经元的信号,或是通过轴突将信号传递给其他细胞时,则会采用以神经递质为主的化学信号来完成。
而神经系统的疾病也基本都与神经元的结构受损造成的信息传递受阻有关。
多发性硬化症(MS)就是由于神经细胞轴突的髓鞘受损,引起了电信号无法正常完成传输。
而霍金患有的“渐冻症”(ALS),则意味着负责控制运动的神经元出现了问题。
由于大脑逐渐失去了对肌肉的控制,患者也会由最初的运动障碍逐渐发展到全身瘫痪,甚至呼吸衰竭。
对这些病症,我们能够了解其大致原理,甚至定位某些相关的基因位点。但对真实的致病原因依然缺乏了解。
阿尔茨海默症也是一样。
这种神经系统的病变可以大致分为两个阶段:首先,β-淀粉样蛋白(Aβ)会在神经突触的位置堆积,影响神经递质的传递。
你可以把Aβ理解为积存在插排插孔处的灰尘,它降低了输电效率,让电信号变得断断续续。
而如果堆积的灰尘过多,也可能会让插孔彻底报废,完全中断信号传输。
第二个阶段也会在这一过程中被激活。
神经细胞的轴突内,存在一种名叫tau的蛋白,其主要作用就是维持神经细胞内部微管结构的稳定。
但在β-淀粉样蛋白堆积的过程中,tau蛋白会逐渐失去作用,就像是排插电线内的铜丝变成了松散的铜粉,这一过程往往会让神经元完全丧失传输能力,并最终走向死亡。
人类大脑皮质中有140-160亿个神经元,小脑中更是达到了550-700亿个,很容易让人觉得失去一两个也没什么关系。
但这其实是最常见的误解之一。
阿尔茨海默症经常会让人觉得这是一种“老年病”,但我们在老年患者身上看到的各种症状,其实只是地雷炸响的一刻,地雷被埋下的时间则要比那早得多。
我们提到的第一个阶段,也即是Aβ的堆积,在40岁的时候就已经开始。这是一位遗传型病人从40到80岁的头部扫描,我们在40岁的扫描中已经能清楚地看到Aβ蛋白的堆积(蓝色区域),
而病人在70岁左右表现出症状时,Aβ的堆积几乎已经遍布全脑,在对记忆至关重要的海马体(hippocampus)附近更是已经非常集中,这基本上意味着在症状出现时,神经元早已经开始大面积地死亡。
此时的阿尔茨海默症,已经像泰坦尼克号船头前的冰山一样,完全没有避开的可能了。
2.症状与治疗——一辆停不下来的火车
你可以打开电脑C盘,找到Windows文件夹,你未必知道这些文件的作用都是什么,但大概也知道就算磁盘空间再紧张,也不能删掉这里的文件。
而我们的脑神经元就可以看做是这个文件夹里的文件,它们支撑着人体的众多核心功能。
而阿尔茨海默症会以越来越快的速度,几乎随机的“删除”掉它们。
如果你尝试删除了Windows中系统文件,电脑未必会马上停止工作,但你会发现出错的功能越来越多,硬盘写入失败,鼠标反应迟缓,屏幕和扬声器也开始出现异常。
而这也对应着阿尔茨海默症早期的一些常见症状:短期记忆丧失,轻度行动障碍,以及视力和听觉损伤。
病情发展到中期,病人会逐渐失去独立生活能力,严重的语言障碍,运动上的不协调,情绪不稳定甚至妄想症也可能会逐渐出现。
而到了晚期,病人的语言能力可能会退化到只剩下单字,或者完全丧失,他们已经无法独立进行任何行动,只能长期卧床接受照料。
上述的三个阶段,基本上会在早期症状显现后的3-10年内,不可阻止的发生。
更为遗憾的是,人类至今还没有任何一种治疗方法能够确定的阻止或延缓病症的发展,最多也只是改善症状。
临床上常用的药物,比如乙酰胆碱酯酶抑制剂和NMDA受体拮抗剂,都是通过调节神经突触的化学传导来改善患者的神经活动,却无法从根本上“治疗” 阿尔茨海默症。
精神疾病药物,心理治疗,音乐,宠物和运动等生活方式的调节也是相似的情况,它们可能会提高患者的生活质量,但却无法治疗疾病本身。
阿尔茨海默症不会直接导致死亡,但却是一种绝症。
3. “看不见的”阿尔茨海默症
如果这种疾病的症状和治疗也都如此让人忧心,为什么我们在日常生活里并不会经常听到这个名字?
其中一个原因是,阿尔茨海默症的早期症状,实在是和正常衰老的过程过于相似。
在一份ADI(国际阿尔茨海默症协会)进行的调查里,3分之2的受访者都认为认知系统的衰退是衰老的正常结果。
真实情况又是如何呢?
我们之前提到的一些,比如记忆和语言能力的轻度减退,医生们很多时候会在评估后将其归类到轻度认知功能障碍(MCI)中。
而带有这些症状的患者,每年都会有15%-20%发展为阿尔茨海默症,正常老人则只有1%-2%。
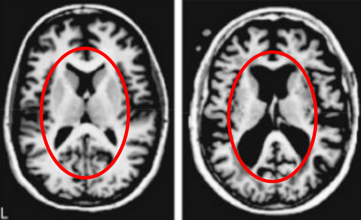
下图中有两张磁共振成像,左侧是年轻人的大脑,右侧是健康老人的大脑。从黑色面积的增加我们能清楚地看到脑组织的萎缩。
人类大脑的结构极为精妙,所以…也极为脆弱,脑萎缩几乎直接意味着多种认知功能受损。所以老年人经常会面对“记不住事”,“眼花耳背”,“手脚不灵便”这些问题。
但需要注意的是,右图中大脑的主人,已经94岁了。对于健康人来说,大脑的衰退…其实是个相当缓慢的过程。
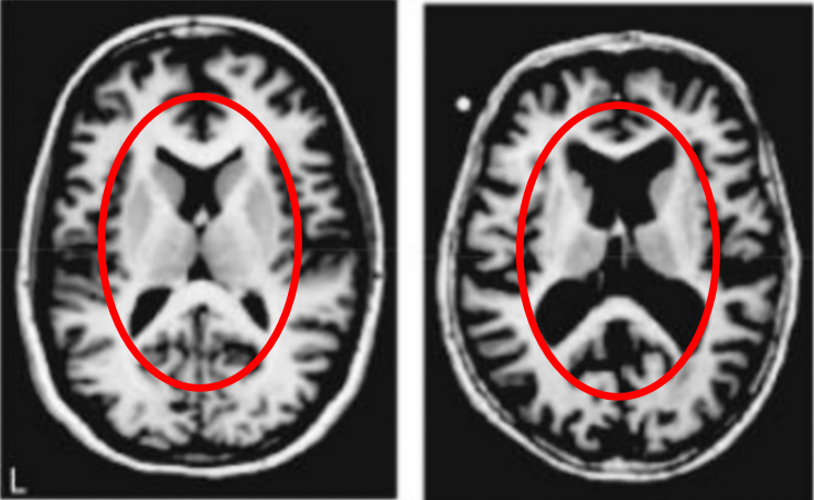
现在我们换另一张图,这张图里的大脑看起来与刚才那张有着相似的萎缩,但它的主人其实是一个只有77岁,但患有阿尔茨海默症的老人。
即使大脑的萎缩和功能衰退不可避免,但阿尔茨海默症会大大加速这个过程。
而症状上的相似性,则很容易让患者和家属们错过最佳的寻医时间。
此外,复杂的诊断流程也是阿尔茨海默症“消失”的原因。
国内外采用的诊断标准一般会包括认知测试,脑部影像,生物化学指标等方面,同时要在排除其他可能的疾病之后才能最终确定。
但遗憾的是,我国医疗机构目前的硬件设施水平,显然还无法完全支撑这种全面检测。
我们刚才看到的大脑扫描图片都来自于核磁共振(MRI),它是阿尔茨海默症的诊断中一个非常重要的成像手段。
2017年我国磁共振仪的百万人拥有量大概在8.5-9.5台,同一时期的日本和美国则分别为55.2台和37.56台。
在数量有限的同时,类似核磁共振和正电子断层扫描(PET)这种仪器的分布也并不平均。
到2019年,全国医疗卫生机构中,医院约占3%。
在医院中占比约8%的三级医院基本都拥有磁共振仪。
而到了占比28%的二级医院中,磁共振仪的拥有率就已经降到了41%。
机构类型 | 数量 | 磁共振仪拥有率 |
三级医院 | 2639 | 99% |
二级医院 | 9280 | 41% |
其他医院 | 21395 | — |
医院外医疗卫生机构 | 974200 | — |
这就造成了对于大部分乡镇和农村地区,基于生化检测和医学影像的前期筛查和诊断中的确认无法实现,医生甚至只能完全依赖认知测试进行诊断(记忆,空间识别,语言能力等)。而这种情况下,往往只有脑部功能已经严重受损的晚期和重度患者才能得到确诊。
最后还有一个经常被忽视的因素,人们在平常提到阿尔茨海默症时,经常会用“老年痴呆”这个名字代替。
如果你细心的话,会发现这是本文中第一次出现这个词。
这个带有贬义的称呼其实加深了神经系统衰退与年龄的关联,而淡化了疾病的存在。它很容易让患者,特别是他们的家属由于“耻病感”而对病症避而不谈,甚至拒绝寻求医学治疗。
2019年,中国阿尔茨海默症患者已经超过1000万,占到了全球总数的四分之一。
而到2050年,这个数字可能会超过3000万。
与巨大的患者数量相对的,在我国轻度阿尔茨海默症患者的就诊率只有14%,重度患者也仅为三分之一。
轻度 | 中度 | 重度 | |
就诊率 | 14% | 25% | 34% |
考虑到类似调查中的多数样本都来自大中城市,如果再加上医疗系统相对落后,神经和记忆门诊相对匮乏的乡村地区,这些就诊率数据依然存在着高估的可能。
对于受阿尔茨海默症困扰的老人们来说,他们需要面对的是一个逐渐走向“透明”的世界:感官,记忆,规划和分析能力的快速衰减,让熟悉的街区开始变得陌生,伴侣,子女和老友开始逐渐“消失”。他们总是感觉自己忘掉了什么事情,或者在离家很近的路旁陷入迷茫,而由此带来的焦虑和孤独感也会日益增加。
随着病情发展,记忆和辨认能力的减弱会让他们感到被遗弃的绝望,语言能力的衰退更是让他们难以表达对这个逐渐陌生的世界越来越强烈的恐惧。
所以在他们眼中的世界走向“透明”的同时,他们对于社会来说,也在逐渐走向“透明”。
而即使他们终于努力地组织出语言,对着陌生人倾诉自己的痛苦,却可能已经完全认不出眼前的“陌生人”,其实就是自己的孩子。
所以,如果你的爷爷奶奶,或是外公外婆,一次又一次地提醒你去添件衣服,或是为你做了一顿你刚刚才吃完的饭。要记得他们可能在默默地受到疾病的困扰。
同时也要记得,他们可能已经忘记了很多,也无可避免地会忘记更多,甚至有一天会再也辨认不出你的名字和容貌。
但他们从未忘记的,就是爱你这件事。
参考资料:
[1] NHK:「The Front Line of Alzheimer's Prevention」
[2] 郭佳凯 等:「中国大陆二、三级医院大型医疗设备配置与使用情况分析」
[3] 冯庆敏 等:「国内外医疗设备配置及使用评估发展现状」
[4] 孙梦莎 顾鸣敏:「阿尔茨海默症早期诊断研究进展」
[5] Alzheimer's Disease International:「World Alzheimer Report 2019」
[6] Wikipedia:Alzheimer’s Disease
[7] 中国市场调查网:《2019-2024年中国阿尔茨海默症诊疗市场概况及投资环境可行性专项调查研究报告》
[8] 中国老年保健协会阿尔茨海默症分会(ADC):「2019中国阿尔兹海默病患者家庭生存状况调研报告」
[9] Alzheimer’s Association:「2019 Alzheimer’s Disease Facts and Figures」
[10] Alzheimer's Disease International:「Mild Cognitive Impairment,MCI」
[11] Nicolas Shanosky, Daniel McDermott, and Nisha Kurani:「How do U.S. healthcare resources compare to other countries?」
[12] Statista:「Number of magnetic resonance imaging (MRI) units in selected countries as of 2017」
作者:莫森
来源:视知

扫码下载APP
科普中国APP
科普中国
科普中国