如果460万年后Y染色体真的消失了,人类会变成孤雌生殖吗?

科普中国
公众科普,科学传播。
收藏

男女比例失衡的论调一度引起了不少男性的焦虑,在这种大环境下,高校性别比也成了被调侃的对象。每年招生季,理工科大学“一对情侣三对基”的现象总要被拉出来公开处刑。

曾有统计数据表明男性比女性多了近3000万人,当然考虑到两性不同的适婚年龄以及各种复杂的因素,这个数据并不能代表最后的光棍人数,但比单身更可怕的是,与男性同胞紧密相关的Y染色体似乎正在慢慢退化消失。


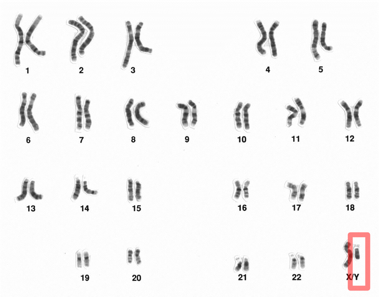
我们知道人类体细胞中有23对染色体,其中22对是常染色体,还有1对是性染色体,即X染色体与Y染色体,这决定了我们的性别。

常染色体的形态、大小基本相同,而且性质也相似,于是两两之间可以很好地配对,但是X染色体和Y染色体在形态和功能上则有很大的区别。

男性体内23对染色体

一般来说,女性拥有两个完全正常的X染色体,而男性拥有的则是一个正常的X染色体和一个萎缩的Y染色体。我们可以简单地认为,Y染色体决定了一个人是否成为男人。

不同于顶天立地的男子形象,人类的Y染色体十分短小精悍。而且有科学家发现Y染色体已经在快速地退化,如果继续保持这样的退化率,Y染色体会在460万年后完全消失

这个时间听起来似乎很长,但地球上的生命其实已经存在35亿年了。于是我们不得不去思考这样一个残酷的事实:如果Y染色体最后消失了,世界上就没有男人了吗?一切要从Y染色体的功能和起源说起。

1902年麦克朗在直翅目昆虫中首次发现性染色体后,性别决定才和性染色体联系了起来。不过直到1990年,辛克莱(Sinclair)等人才发现了Y染色体性别决定区(SRY)。



这是存在于人体Y染色体短臂末端上的一段基因片段,是决定男性睾丸发育的主要基因。

SRY的蛋白质产物会影响另一个叫做Sox9的基因表达,进而使个体发育为男性。2018年研究人员在即将性别分化的小鼠胚胎中,定位和敲除掉Sox9的增强子,使Sox9不表达,结果显示XY小鼠永远不会变成雄性,而是维持雌性。
 
由此可见XY染色体携带者之所以能分化成男性,完全仰仗Sox9基因蛋白引导XY染色体携带者的睪丸发育,而SPY可以看作是决定性别遗传的主开关。


XY染色体携带者可能是女性,反过来XX染色体携带者其实也有可能成为男性。在减数分裂过程中,Y染色体有时候会和X染色体发生互换,如果SRY恰巧身处其中,就有可能导致这种情况。
 
SRY的发现让人们了解了X和Y是如何进化的,目前普遍认为性染色体是由相同的常染色体演变而来的。Sox3基因原本位于远古哺乳动物祖先的一对常染色体上,启动子序列驱动Sox3在精子前体和中枢神经系统中的表达。
 
之后一条染色体上的Sox3被一个驱动未分化性腺(一种可以发育成卵巢或睾丸的组织)表达的序列所取代,形成了SRY来指导睾丸的发育。随着时间的推移,这条染色体上男性发育不需要的基因被降解,于是产生了Y染色体,而拥有本来 SOX3 的那条染色体,现在成为了X染色体。


相对于整个生命的演进,性染色体其实仍然比较年轻。X染色体和Y染色体早前一度被认为已经向不同方向演化了3亿年。但对鸭嘴兽基因组测序的研究表明,XY性别决定系统可能在大约1.66亿年以前才出现,是在单孔目动物从其他哺乳动物中分离出来开始的。
 
目前大部分哺乳动物的性别,包括胎盘类和有袋类,是由XY性别决定系统决定的,但大多数的变温脊椎动物体内并没有性染色体
 
我们小时候被告知鳄鱼的性别是由温度决定的时候,一定感到十分惊讶,事实上它们的性别是由外界环境而不是个体基因型决定的。当然有一些类群已经分化了性染色体,比如蛇类的ZW性别决定系统,这和鸟类的性别决定类似。
 
作为最低等的哺乳动物,看上去既像爬行动物又像哺乳动物,还像鸟类的单孔目自然是是确定XY染色体如何进化的理想选择。

鸭嘴兽

与大部分哺乳动物不同,鸭嘴兽有10条性染色体,其中雄性鸭嘴兽有5条X和5条Y染色体,而雌性鸭嘴兽有10条X染色体,这十条染色体通过细胞分裂时的9个拟常染色体区域连接在一起。
 
目前研究人员对鸭嘴兽的10条性染色体的基因内容知之甚少,但现有的少数数据非常惊人。研究表明鸭嘴兽的X1染色体与哺乳动物X的染色体相似;而X5染色体含有鸟类性别决定基因DMRT1。

这意味着哺乳动物的X和Y染色体是在1.66亿年前单孔目分化后由常染色体对进化而来的,因此它们比之前认为的要年轻1.45亿年。这或许不是好事,因为存在的时间短了,意味着Y染色体退化的速度比原先估计得更快了。
 
最早期的Y染色体和X染色体大小一样,而且含有所有相同的基因,但不同于常染色体,Y染色体只能作为单一的拷贝,从父亲传递给儿子,更尴尬的是,Y染色体上的基因不能进行基因重组。

X染色体(左)和Y染色体(右)

在每一代中发生的基因重组或许能帮助消除有害的基因突变,但X染色体和Y染色体之间的基因重组对生命体有害的,它会导致雄性丢失Y染色体上的必需基因,雌性则多出原本只会出现在Y染色体上的非必需基因甚至是有害基因。

由于无法得益于重组,导致Y染色体的基因则会随着时间不断退化,最终将会从基因组中消失。有研究表明,在几亿年的进化过程中,X染色体保留了数百个基因,与此同时Y染色体似乎处于“进化自由落体”状态,只剩下七八十个基因。

这或许不是耸人听闻,在几种啮齿动物中已经发现Y染色体完全消失的实例,如在鼹形田鼠的鼠类不论雄性或雌性的基因型皆为XO,而所有坦氏鼹形田鼠的基因型皆为XX。

鼹形田鼠

到目前为止,在其各自基因组中均未发现胎盘类保守的性别决定因子SRY,而是由第二号染色体的CBX2基因发挥了决定雄性性别的作用。
 
当然在人类Y染色体是否会消失的问题上,也有“保留派”认为,Y染色体的防御机制能够对自己进行挽救,有研究表明Y染色体的基因丢失已经停滞了0.25亿年。
 
2010年麻省理工学院的研究人员在完成了对黑猩猩和人类Y染色体的详细比较后发现,黑猩猩和人类Y染色体上的基因正在快速变化。
 
该研究的作者之一、麻省理工学院怀特黑德研究所主管戴维·佩奇(David Page)表示,Y染色体看起来是“我们基因组中最具进化活力的部分”。
 
他们的研究表明,即使是一小部分基因也能进行大量的进化,“就好像Y染色体是一个不断被改造的房子”。自从黑猩猩和人类从一个共同的祖先进化而来之后的大约600万年里,这种重塑一直在以惊人的速度进行。

不过目前还不清楚这些基因变化到底完成了什么,但在黑猩猩身上,有证据表明这种改变增加了精子的产量。
 
现在再看我们开头提出的问题,如果Y染色体消失了,男性也会随之消失吗?答案或许是否定的。
 
Y染色体确实很重要,除了SRY,还包含制造正常精子所必需的基因。不过Y染色体的退化可能导致其他染色体“接管”其原有基因,最终Y染色体完全消失,而新的性别决定系统将会诞生。

杨仙荣, 王美琴, 李少华. 人类Y染色体的演化[J]. 遗传, 2014, 36(9): 849-856.
Veyrunes F, Waters PD. Bird-like sex chromosomes of platypus imply recent origin of mammal sex chromosomes. Genome Res. 2008 Jun;18(6):965-73.
Jon Hamilton.Human Male: Still A Work In Progress. NPR. 2010.1.13.
林以璇. 男人都是变性人?染色体XY 还是可能是女生!Heho健康. 2018.6.22.
Graves, J. Twenty-five years of the sex-determining gene. Nature 528, 343–344 (2015).
Darren Griffin, Peter Ellis. The Y chromosome is disappearing – so what will happen to men? 2018.1.18.


内容来自:SME科技故事