版权归原作者所有,如有侵权,请联系我们

穿好看的鞋腿脚酸?科学放松指南 | 果断练

果壳
科学和技术,是我们和这个世界对话所用的语言。
收藏


天气越来越热,是时候收起靴子,拿出轻薄的鞋了。夏季,鞋的选择更多,出门前总要站在几双鞋前纠结一下。

 

有些鞋穿上走几个小时,就从脚底到腰背都不舒服,但因为太好看或很方便,让人忍痛也想穿。如果无法舍弃它们,可以用几个简单动作放松腿脚,减少鞋对身体的伤害。

 


最常穿的鞋,可能正在伤害身体

 

有的伤害直接可见,比如脚痛、起水泡,或者摔倒骨折[1, 2]。还有一些损伤会默默积累,即使换了鞋,身体也不能立刻复原。想预防这些危害,少穿伤身体的鞋最有效。

 

脚不能放松,凉拖会掉

 

凉拖方便又百搭,简直是夏日必备。但没有带子固定脚跟,凉拖多数都不跟脚。这强迫脚趾用力抓住鞋、勾起脚尖和弯曲膝,走久了腿脚很累。如果鞋底又薄又硬,无法吸收地面冲击力,对腿脚的损伤更大[3-6]。

 

如果一定要穿这类鞋,尽量选择带子靠近脚踝位置、鞋底较软且有一定厚度的[6, 7]。

 

走路时,鞋会离开脚底,让人不自觉用力抓紧丨作者供图


高跟鞋,踮脚改变全身


垫起脚跟破坏了前后方向的平衡,人必须从脚到头改变姿势才能站稳,鞋跟越高危害越大。

 

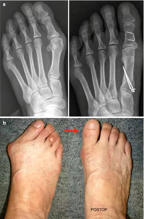
对于脚本身,踮脚姿势增加前脚掌压力(特别是拇趾周围),加上很多尖鞋头挤住脚趾,会改变足弓高度,使拇外翻风险升高1~2倍,还可能导致足底筋膜炎及骨骼变形[1, 8, 9]。

 

左侧为拇外翻X线片及足部照片,右侧为术后丨参考文献[10]

 

脚长期踮着,小腿后侧的肌肉和跟腱会缩短、变粗和僵硬。难看不说,穿回平底鞋时,缩短的肌腱会拉得小腿难受,人向后倒[9, 11]。运动时,僵硬的跟腱可能受到损伤,甚至断裂。为了保持平衡,走路时小腿其他部位的肌肉也更用力,容易疲劳酸痛[12]。

 

长期穿高跟鞋,小腿后侧肌肉横截面积增大8.4%,长度变短13%,跟腱横截面积变大7%[13]丨作者供图

 

这些变化让小腿使不上劲,走路时大腿更用力,再加上姿势的改变,膝关节压力明显升高,可能造成膝痛并损伤关节。腿脚的影响向上蔓延,可能导致骨盆前倾、腰椎曲度改变、头前伸及身体左右不对称,造成腰背及头颈痛等[8, 9, 12, 14]。

 

如果必须穿高跟鞋,脚跟与前脚掌高度差在4~7厘米相对危害较小[2]。

 

最健康的鞋

 

对于多数人,这样的鞋最适合日常穿:跟高1~3厘米,底有缓震能力,鞋与脚接触面积大(但足趾前、侧、上方要留有空间),各种姿势都没有挤脚感觉

 

运动鞋大都符合标准,只有特殊类型不适合日常穿,如举重鞋及舞蹈鞋(运动当中要穿相对应的鞋)。

 

脱下鞋,需要放松及加强

 

不想穿运动鞋的日子,回家脱下鞋后,可以用几个简单动作放松腿脚(有人按摩当然更好)。

 

脚底酸,踩球放松

 

把球踩在脚下,缓慢滚动,放松整个脚底,特别疼的位置多停留一会,每只脚踩30~60秒。


下面的练习仅针对健康人,患相关疾病者请遵从医生的建议。所有练习动作,在面对面专业指导下最安全有效,动作中出现异常疼痛、麻木、弹响请停止。

 


小腿痛,滚动按摩

 

泡沫轴放在一侧小腿下,手撑地前后缓慢移动(快速反而恶化),滚动30~90秒。

 

放松小腿后侧肌肉;感觉撑地费力,可以把小腿分成上下两段滚动;疼痛部位多停留一段时间丨作者供图

 

小腿前侧的酸痛,可以用擀面杖滚动缓解。



拉伸小腿后侧

 

放松后进行小腿后侧拉伸,每个动作维持30秒,重复2~4次[15, 16]。


手扶前侧,一脚向后迈,足尖指向正前方;向前移动重心,并用力伸直膝,不要抬起足跟。


上面的动作可以暂时减轻腿脚酸痛,但想获得长期改善,还得让腿脚本身的功能更强大。


强化腿脚肌肉

 

足趾抓紧毛巾维持2秒再展开,重复10~15次,共2组,每周做3~5天。如果能加入小腿肌肉强化及核心训练,效果更好[15, 16]。


不仅要用力抓紧,展开时也要用力分开五趾;刚开始可能感觉脚趾不听话,多练就好。


恢复功能

 

最后,还需要一个动作把之前的练习都整合起来,才能让生活更轻松。缓慢将一只脚尽量伸远,重复10~15次,共2组,每周练习3~5天[15, 17]。

 

单脚站立,另一只脚伸向前、外、后侧。保证身体正直、站立侧膝朝向足尖的前提下,尽量够向远处



参考文献


[1] Barnish MS, Barnish J. High-heeled shoes and musculoskeletal injuries: a narrative systematic review. BMJ Open. 2016;6(1):e010053.

[2] Baaklini E, Angst M, Schellenberg F, et al. High-heeled walking decreases lumbar lordosis. Gait Posture. 2017;55:12-14.

[3] Chen TL, Wong DW, Xu Z, et al. Lower limb muscle co-contraction and joint loading of flip-flops walking in male wearers. PLoS One. 2018;13(3):e0193653.

[4] Chard A, Greene A, Hunt A, Vanwanseele B, Smith R. Effect of thong style flip-flops on children's barefoot walking and jogging kinematics. J Foot Ankle Res. 2013;6(1):8.

[5] Sharpe T, Malone A, French H, Kiernan D, O'Brien T. Effect of flip-flops on lower limb kinematics during walking: a cross-sectional study using three-dimensional gait analysis. Ir J Med Sci. 2016;185(2):493-501.

[6] Zhang X, Paquette MR, Zhang S. A comparison of gait biomechanics of flip-flops, sandals, barefoot and shoes. J Foot Ankle Res. 2013;6(1):45.

[7] Willems C, Stassijns G, Cornelis W, D'Août K. Biomechanical implications of walking with indigenous footwear. Am J Phys Anthropol. 2017;162(4):782-793.

[8] Puszczałowska-Lizis E, Dąbrowiecki D, Jandziś S, Żak M. Foot Deformities in Women Are Associated with Wearing High-Heeled Shoes. Med Sci Monit. 2019;25:7746-7754.

[9] Cronin NJ. The effects of high heeled shoes on female gait: a review. J Electromyogr Kinesiol. 2014;24(2):258-263.

[10] Jung HG., Eom JS. (2016) Hallux Valgus and Bunionette. In: JUNG HG. (eds) Foot and Ankle Disorders. Springer, Berlin, Heidelberg.

[11] Franklin S, Grey MJ, Heneghan N, Bowen L, Li FX. Barefoot vs common footwear: A systematic review of the kinematic, kinetic and muscle activity differences during walking. Gait Posture. 2015;42(3):230-239.

[12] Wiedemeijer MM, Otten E. Effects of high heeled shoes on gait. A review. Gait Posture. 2018;61:423-430.

[13] Csapo R, Maganaris CN, Seynnes OR, Narici MV. On muscle, tendon and high heels. J Exp Biol. 2010;213(Pt 15):2582-2588.

[14] Michoński J, Witkowski M, Glinkowska B, Sitnik R, Glinkowski W. Decreased Vertical Trunk Inclination Angle and Pelvic Inclination as the Result of Mid-High-Heeled Footwear on Static Posture Parameters in Asymptomatic Young Adult Women. Int J Environ Res Public Health. 2019;16(22):4556.

[15] Micheal A. Clark, Scott C. Lucett, Brian G. Sutton. NASM essentials of corrective exercise training (1st ed rev). 2011.

[16] The Orthopaedic Section of the American Physical Therapy Association. Heel Pain-plantar Fasciitis:Revision 2014. Rehabilitation Medicine. 2019;29(1):2-20.

[17] Puszczałowska-Lizis E, Omorczyk J, A Bujas P, et al. Relations between morphological features of feet in elderly people. Conference Proceedings. 2018.


作者:代天医

编辑:odette


本文来自果壳,未经授权不得转载.

如有需要请联系sns@guokr.com


内容来自:果壳