版权归原作者所有,如有侵权,请联系我们

烟雾病是什么病?得了烟雾病是不是活不久了?

神经外科金永健
留日医学博士,擅长颈动脉、烟雾病等疾病的外科治疗
收藏

昨天有一位烟雾病的小患者出院了。该患者男,六岁。患者妈妈刚来时,十分激动,上来就说:金主任,我儿子要死了,你一定要救救我儿子。说着,患者妈妈哭了起来。经询问,患者因为头痛头晕去当地医院就医,在当地查出来烟雾病。当地医生建议患者前往上级医院进一步检查治疗。回家后,患者妈妈在网上查了关于烟雾病的信息,觉得烟雾病要人命,自己儿子要离世了。经过仔细评估后确定小患者确实是烟雾病,而且很幸运目前没有脑梗发作,通过积极的治疗预后良好,完全可以正常生活。患者术后恢复良好,于昨日出院。

烟雾病是一种罕见的脑血管疾病,表现形式是双侧颈内动脉终末端进行性闭塞和新生侧支血管形成。在血管造影检查时,发病部位的异常血管网在影像图上形似一团烟雾,因此得名。烟雾病多发于东亚地区人群,有两个发病高峰期(五岁左右和四十岁左右)。烟雾病的临床症状包括短暂性脑缺血、头痛头晕、运动障碍和意识障碍等。

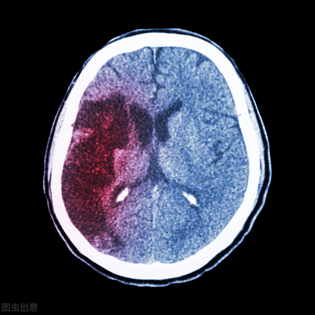
烟雾病的危害主要表现为脑梗和脑出血。由于某种原因,大脑中的大血管发生闭塞,血液不能流到大脑,导致脑梗。大血管闭塞,周围会长出许多代偿的小血管,这些小血管脆弱易破裂,导致脑出血。

实际上,烟雾病本身不会致死,但是烟雾病引起的脑梗和脑出血会致死。烟雾病长时间拖着不治,会引起脑出血和大面积的脑梗。这时候患者可能会出现生命危险。

如果患者查出了烟雾病,建议积极进行手术治疗。烟雾病的手术治疗方式包括直接血管重建术、间接血管重建术和联合手术。手术治疗既能迅速改善脑供血状况,又能更大范围地诱导新生血管的形成,进一步扩大改善了供血范围,降低了脑卒中的风险,也降低了死亡风险。此外,手术预后良好,一般不会耽误患者正常生活。