咳嗽、发热、腹泻这都是日常生活中常见的临床症状,但是当这三种症状反复出现时一定不要忽略肺囊性纤维化这种遗传病。
最近遇到了一位特殊的病人。病人男,41岁,因为反复的咳嗽、发热在当地医院治疗了很久,每次都是典型的肺部感染表现,咳嗽,咳黄痰,给予抗炎治疗后病情得到控制,没过多久就再次复发。这次患者咳嗽憋喘严重,血氧饱和度90%左右,为进一步治疗,到上级医院就诊。
入院后追问病史,病人除了反复的发热、咳嗽、咳痰外,还有长期的消化不良,腹胀以及泡沫恶臭粪便。病人双手典型的杵状指,入院后复查CT与前变化不大,给予抗炎、吸氧等对症治疗,病人的症状逐渐得到了控制,最终的诊断是什么呢?是单纯的肺部感染吗?
答案是否定的,这是一种遗传性疾病——囊性纤维化。
囊性纤维化(cysticfibrosis,CF)是一种侵犯多脏器的遗传性疾病,是由于位于第7对染色体CF基因突变引起的常染色体隐性遗传病,病人是纯合子,其双亲是杂合子。主要表现为外分泌腺的功能紊乱,黏液腺增生,分泌液黏稠,汗液氯化钠含量增高。而这位病人主要的病变在于肺。
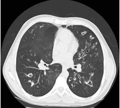
他的临床表现为反复发作的呼吸系统感染伴排痰性咳嗽,喘鸣音及呼吸困难。CT表现为支气管扩张症,通常累及所有的肺叶,但是倾向于肺上叶最严重。
当然除了肺,病人还有肺外的表现,比如胰腺分泌不足则出现腹胀、腹部隆起、排出大量泡沫恶臭粪便等消化不良症状。
肺囊性纤维化是一种染色体隐性遗传病,2018年5月11日,国家卫健委、科技部、工信部、国家药监局,国家中医药局五部门联合下发《关于公布第一批罕见病目录的通知》,肺囊性纤维化已纳入首批国家版罕见病目录。
肺囊性纤维化要与什么疾病鉴别呢?
1.细菌性肺炎的反复发作时造成的支气管扩张。一般多位于下叶,肺底可呈小囊状支气管扩张,用高分辨率CT(HRCT)可取代支气管造影而获得诊断。
2.肺曲菌病。一般此病发病年龄较晚无家族遗传史,纤维支气管镜检查可找到曲菌丝。
3.结核性支气管扩张症。病人可有结核接触史,可有长期的午后低热盗汗,痰中查到结核分枝杆菌可确诊,抗结核治疗有效。
4.丙种球蛋白缺乏症。患者血液中丙种球蛋白缺乏。
关于肺囊性纤维化的治疗概要
反复慢性呼吸道感染和呼吸功能衰竭是病儿死亡的主要原因。肺囊性纤维化的治疗方案包括抗生素,物理疗法和胰腺酶替代。目前,超过80%的囊性纤维化患者可以活到成年,其中90年代的患者预测寿命超过40年,随着肺移植手术的发展,进展期囊肿性纤维化患者的生存时间将进一步延长。据统计,肺移植术后一年的生存率为85%,2年生存率约70%

扫码下载APP
科普中国APP
科普中国
科普中国