说到CT下的“白肺”,我们需要了解一下CT的工作原理
位于机器上方的X射线管发出X射线,X射线经过人体后会有所衰减,衰减后的X射线最终达到探测器上。探测器再根据衰减后的X线的量进行计算成像。
一般来说,X射线衰减与经过人体“密度”成正比,换句话说,X射线衰减的越少,说明经过人体时“密度”越低,最终在显示器上显示的图像就越黑;相反,X射线衰减的越多,说明经过人体的“密度“越高,最终在显示器上显示的图像就越白。
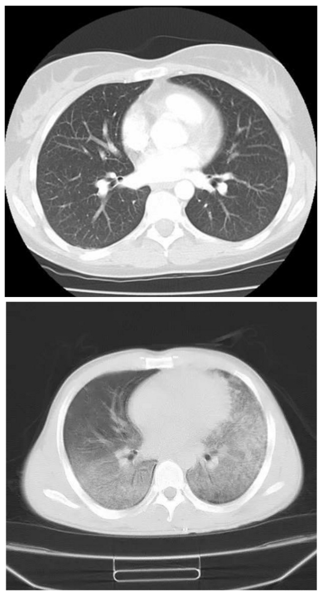
“白肺”与“黑肺”反映肺内密度的高低
正常人肺内都是气体,所以密度低,X射线衰减的就少,最终显示的图像为黑色。
而一旦肺内充满分泌物或者有占位性病变,密度就会增高,X射线衰减的就多,最终的图像显示为白色。
如下图的胸部CT结果示:上面的为正常的胸部CT,为“黑肺”,下面的为肺炎的CT表现,即为“白肺”。
为什么新冠肺炎为“大白肺”呢?
当我们的肺部被细菌或者病毒感染后,局部组织会出现一种“自我保护”——渗出,这样既能稀释毒素又可以为白细胞带来营养物质和运走代谢产物。因为渗出物的为液体,从而导致肺的整体密度增高。特别是老年人,因为本身咳嗽力量就差,当肺炎病情严重时很难将分泌物完全咳出,造成支气管被黏稠的分泌物阻塞,从而导致肺内气体进一步减少,最终双肺密度越来越高,从而导致“大白肺”的产生。
出现“大白肺”后有什么好的治疗措施吗?
“大白肺”我们又称之为重症肺炎,很多时候病人都会被转到ICU(重症医学科)继续治疗。即便如此,也往往凶多吉少。前面了解了大白肺的形成原理后,对于它的治疗也更加简单明了。
因为是重症肺炎,所以第一位的还是控制原发病,抗炎或抗病毒治疗。其次要加强呼吸道管理,帮助患者把痰液咳出体外。只有细菌或者病毒控制住了,分泌物及痰液及时排出来了,患者才有可能逐渐好转起来。
这几天的新闻中提到的内镜清肺小组如何治疗“大白肺”?
所谓的内镜清肺小组其实是用纤维支气管镜把气管里的痰液、黏液清理干净
。纤维支气管镜是胸外科及呼吸科常用的检查治疗手段,是将一根内镜从鼻腔经过声门之后进入病人的呼吸道,利用生理盐水冲洗稀释黏稠痰液,再将里面的痰液吸出来。病人的分泌物及潴留痰液大大减少,呼吸也会好转。
但是这也是一件非常危险的事情,因为在进行纤维支气管镜吸痰的过程中,病人的呼吸道开放程度很高,同时镜子对支气管粘膜刺激,病人会剧烈咳嗽,再加上医患距离较近,所以医务人员接触病毒感染肺炎的风险会大大提高。
把痰液、黏液清理之后并不代表病人的肺炎就会好转,但是哪怕有一点效果,就可能多一点希望,就可能带来转机。为了这一点转机,作为医生也愿意尽自己最大的努力

扫码下载APP
科普中国APP
科普中国
科普中国