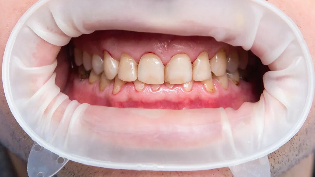
什么是牙龈萎缩?
指牙根部位的牙龈退缩,牙根会慢慢暴露出来,因此牙齿看起来越来越长。
牙龈萎缩是牙周疾病的一种常见症状。牙龈萎缩很多情况下是不可逆的,很难通过治疗来恢复,而且牙龈萎缩太严重还会导致牙齿松动、脱落等问题。

01、牙龈萎缩有哪些危害?
首先,造成口腔疾病;牙根因失去牙肉保护而感到敏感,无法抵御外界的刺激,严重时影响牙神经造成牙髓疾病;牙缝因没有牙龈覆盖而暴露、变大,让食物嵌塞其中,造成牙龈流血、炎症加重、牙齿根面形成龋坏。再严重,就是牙齿松动、脱落了。
其次,影响美观;尤其是年轻人,笑起来牙肉包不住牙根,很难看!
02、牙龈萎缩的原因?

1.年龄
随着年龄增大,牙龈的附着高度比年轻时低,而许多老年人的牙周组织因长期受到各种机械性损伤和炎症刺激,日积月累就导致了牙龈萎缩。
2.牙周炎症
牙周炎导致牙周组织遭到破坏,牙槽骨吸收后,附着在牙槽骨上的牙龈也就随着牙根方向萎缩。
3.牙齿拥挤
牙槽骨就那么多,一旦牙齿拥挤,有些牙齿表面覆盖的牙槽骨就薄了。这种情况下,咬东西不得当或习惯不佳,有可能会造成牙槽骨进一步吸收,牙龈自然也就萎缩了。

4.刷牙方法错误
错误的刷牙方法,用力不当,会刺激牙龈,习惯横着刷牙往往更容易发生牙龈萎缩。此时的刷牙倒不如说是「锯」掉牙槽骨和牙龈;不正确地使用牙签,也会刺激局部的牙肉和牙槽骨,造成牙龈萎缩。
5.不良的口腔修复体
佩戴的假牙不合适或使用不当都会导致牙龈萎缩。如活动假牙的固定装置(卡环),刺激牙龈,会发生炎症,从而造成牙龈萎缩。

6.系带附着过高
唇或者颊系带由粘膜折叠而形成,其内常常包含一些肌肉纤维,系带将唇或者颊连接于牙槽粘膜和牙龈。当系带附着的位置太靠近牙龈边缘,当唇或者颊活动时会牵拉龈缘,使该处容易堆积食物碎屑等刺激物,导致牙龈萎缩!
03、哪些牙龈萎缩可以恢复?
1.牙结石----可恢复
长期的牙结石不及时清理,会导致越来越多,久而久之会导致牙龈萎缩。因此建议定期洗牙,把导致牙龈萎缩的刺激物去除,牙龈萎缩可慢慢恢复。
2.牙周病----很难恢复
牙龈萎缩是牙周炎的症状之一。很多患者早期多为牙龈炎,若不及时治疗会变成牙周炎,导致牙周脓肿、牙缝变大,此时治疗牙周炎,牙龈萎缩几乎难以恢复。
3.错误刷牙方法----可恢复
选过硬或过软的牙刷、错误的刷牙方式,会导致牙龈受到不同程度的摩擦。若立即调整刷牙的习惯,注意保持口腔卫生,牙龈萎缩是可以恢复的。
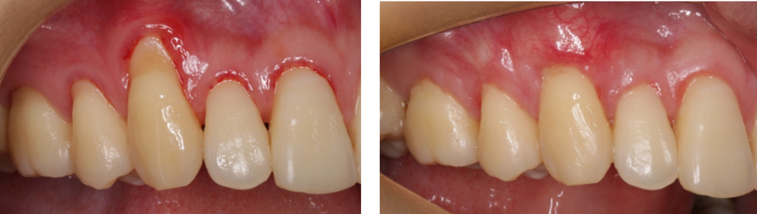
如果长时间,比如数年或者数十年错误的刷牙方式将会导致不可逆的牙龈萎缩,此时,一部分患者可以选择膜龈手术让牙龈恢复。

做膜龈手术的前后对比
04、如何有效预防牙龈萎缩?
1、定期的口腔保健
有数据表明,每6或12个月洁一次牙,是预防牙龈炎症的有效措施。已有牙周病症状的患者,积极配合治疗,按医生建议接受洁治、刮治、牙周护理或手术。

2、及时治疗口腔疾病
牙结石、牙龈炎、牙周炎、不合适的假牙、系带附着异常等,都是导致牙龈萎缩的原因,所以应定期到医院检查并治疗。
3、治疗引发牙龈萎缩的老年性全身性疾病
如内分泌紊乱可导致牙龈萎缩,在治愈原发疾病后,牙龈萎缩会有一定好转。

4、养成良好的口腔卫生习惯
牙龈萎缩使裸露的牙根对冷、热及酸性食物等异常敏感,妨碍进食,大大降低生活质量。
应养成良好的口腔卫生习惯,如每天早晚正确刷牙、选用较软的牙刷、尽量选含氟牙膏、使用牙线代替牙签等,可缓解疼痛并更好地保护牙齿和牙龈。

5、看牙应选正规的口腔医疗机构
不可图便宜和方便在一些技术水平不高、操作不规范的小诊所镶牙,这是产生不良修复体的主要原因。 另外,应积极听从医生的指导,假牙佩戴一段时间后复诊。
6、发现异常及早就医
如发现自己个别牙发生异常移动,应及时到医院检查,以便对症处理。早发现、早诊断、早治疗,可避免牙龈萎缩加重。

扫码下载APP
科普中国APP
科普中国
科普中国