有关“洗牙”的网络文章,用“铺天盖地”来形容一点也不为过!然而,是不是所有的文章都是真正意义的科普文章呢?个人以为,对于科普文章,客观、公正才是第一要义。关于是否需要洗牙这一话题,关键的问题只有以下3个:①是不是所有人一定要洗牙?②如果不需要,是为什么,应该怎么做?③如果需要,又是为什么,应该怎么做?
01 是不是一定要洗牙?
关于洗牙的网文,甚至言之凿凿的科普文,都会首先要强调洗牙的重要性。仿佛,如果你拒绝洗牙,就只能“等着掉牙”吧!
事实上,并不是所有人都必须洗牙。
就像学生的读书成绩有“优秀”、“良好”等分级一样,人的健康状况其实也是分等级的,而这种分级不可避免地与先天因素有着一定的联系。换言之,不同的人,对相同疾病的易感程度就是不一样。因此,有些人是牙周炎易感者,而另一些人不是。蛀牙也是同理。
不言而喻,最需要洗牙的人,是牙周炎易感者。

02 不需要洗牙是为什么,应该怎么做?
有一些人确实是不需要洗牙的。
因为有口腔细菌不等于一定会有牙龈炎,有牙龈炎也不等于一定会发展为牙周炎(千万别抬杠,没有说不可以去洗。如果是对口腔卫生有要求,愿意锦上添花,未尝不可)。
单纯的牙龈炎,只要认真刷牙就好了。况且,即使洗牙再好,也不可能替代刷牙。毕竟,洗牙一般半年一次。100多天不好好刷牙,就靠洗牙维持健康,简直就是“痴人说梦”啊!

03 需要洗牙又是为什么,应该怎么做?
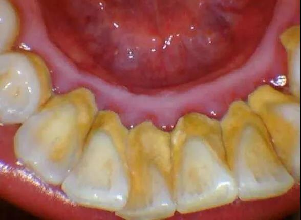
另一些人则是不得不洗牙的。有牙结石的人不洗牙,牙结石是不可能用牙刷刷掉的;有牙周炎的人不洗牙,牙菌斑和牙结石合作产生的致病物质会持续不断地危害和破坏牙周组织。

对于上述两类人,即使“可能有害”(任何操作不可能做到“毫发无损”,是药还三分毒呢),洗牙都是必须要做的。
但凡需要洗牙的人,其实已经没有机会纠结于洗牙这项操作的“危害”了,因为已经是不得不洗牙的情况。
唯一真正需要考虑的是选择去正规的医院看。①可以保证避免感染(交叉感染);②可以保证清洁彻底;③可以在技术上尽可能避免那些所谓的“危害”,比如不允许洁牙器“工作尖”直接在牙齿表面用力加压,洁牙后会给牙齿做抛光处理等等。
人们做选择总是要先权衡利弊,而必要的洗牙终究是“利大于弊”。不知道大家有没有get 到文章的要点?

扫码下载APP
科普中国APP
科普中国
科普中国