生活中经常看到一些宝宝
还没等乳牙长齐,已长出的乳牙就变黑了
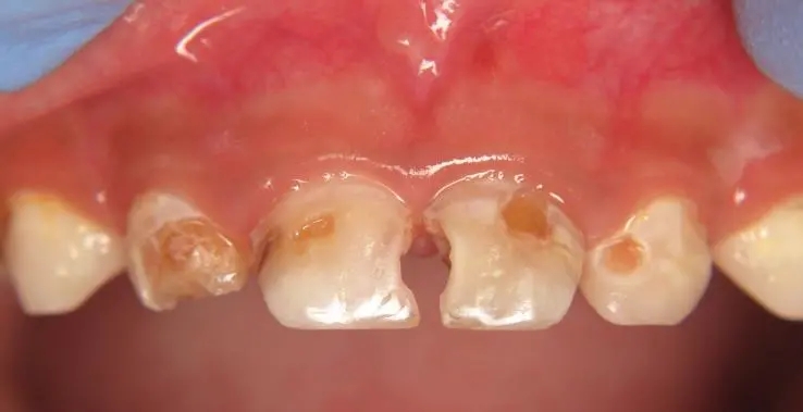
常见于上排门牙靠近嘴唇面
及牙齿与牙齿相邻面出现大面积的龋坏
这种现象大都是“奶瓶龋”所致
有些家长问:乳牙迟早要换,可不用去理?
真的是这样吗?
今天听听儿童牙医的意见~
奶瓶龋有哪些危害?

儿童牙科医生表示,奶瓶龋的发生随着病变加重,会引起牙髓及牙根尖病变,届时孩子会感到剧烈疼痛或牙龈肿胀、流脓,伴随着哭闹不安、烦躁、无法安睡等情况。
奶瓶龋使乳牙的切割功能大大降低,影响咀嚼,进而导致进食变得困难,不利于营养物质的吸收。严重时,还有可能影响孩子的恒牙发育以及口腔颌面部的生长发育。因此,一旦发现牙齿龋坏,应及早带孩子去口腔医疗机构诊治。

乳牙早晚要换,可以直接拔掉?
不少父母认为乳牙迟早要换,患龋了可以直接拔掉?错了!乳牙因龋坏严重而被过早拔掉,还可能引起后继恒牙因萌出位置不足而错位萌出,从而导致牙齿排列不齐。因此乳牙患龋要及时治疗,不能过早拔除。

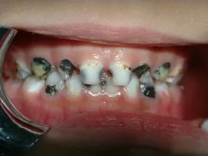
严重“奶瓶龋”患者,真实的口腔照
“奶瓶龋”是如何发生的?

患上“奶瓶龋”的过程
从名称上不难猜出是跟宝宝使用奶瓶进食有关,常常发生在2、3或4岁的孩子身上。
“奶瓶龋”最初在上颌乳切牙的唇面龈缘处出现白垩色斑点或带状脱矿,而后逐渐向下向旁边蔓延,侵蚀邻近的牙面形成环状龋,呈棕褐色,并最终发生牙冠折断,仅留下残根。导致奶瓶龋的原因:

“奶瓶龋”患者,上颌乳切牙的真实照
1.忽视乳牙护理
正如上文提及不少父母认为孩子的乳牙反正长大后会脱落重新生长出恒牙,因此没有过多关注,常常在喂奶后未采取任何清洁护理工作,甚至孩子在长乳牙时产生疼痛,也没引起太大的重视。
2.喂奶姿势不对

许多宝宝经常拿着奶瓶喝奶,含着奶嘴不知不觉就睡着了,宝妈担心吵醒孩子而未及时将拿掉奶瓶,长此以往就算孩子未被奶水堵住鼻子窒息,牙齿也会因奶水的浸泡而受影响。
3.长期使用安抚奶嘴
有的宝宝比较喜欢用安抚奶嘴,所以在喂奶后长期使用安抚奶嘴,父母也缺乏口腔护理的知识,这也会导致奶汁留在嘴里影响牙齿的发育。
4.认为龋齿是遗传现象
龋齿不会遗传,但大人如果有龋齿未及时治理的话,极容易在喂食过程等环节中间接传播给孩子。如用奶瓶喂奶时,自己先就着奶嘴试温度;用自己的餐具给宝宝喂吃;亲吻宝宝嘴巴等。

如何预防“奶瓶龋”

1.避免长时间使用奶瓶
用奶瓶时间过长会让孩子依赖奶嘴,影响孩子语言以及口腔发育,更重要的是奶瓶龋会不断恶化,奶垢在口腔中越积越多。所以一旦孩子可以自己喝水就应该改为锻炼孩子使用杯子,戒掉依赖奶嘴的坏习惯。
2.及时漱口
孩子一般在睡前喝奶,但这样确实给牙齿带来很大隐患。因为夜晚时间长,牙齿处于一个细菌环绕、被糖分包围的环境。建议喝完奶后再喂一些温开水,可以有效清洗、冲走奶液在口腔中的残渣,保持口腔环境良好。
3.清洁奶垢
可以用纱布缠绕手指将孩子牙齿上的奶垢擦干净。每次喂奶,最好不要超过15分钟,减少奶液浸泡牙齿的时间。

4.坚持刷牙
长出第一颗乳牙后,就应该为孩子刷牙。最好是饭后和睡觉前进行,每日至少两次。3岁以下孩子可清水刷牙,3岁以上孩子可选用儿童含氟牙膏,但不要选用成人含氟牙膏。
5.定期检查
从孩子长出第一颗乳牙后开始,每隔3个月或6个月去口腔医疗机构检查一次。当年龄适合时,定期到口腔医疗机构进行涂氟及窝沟封闭,以提高乳牙的抗龋能力。


扫码下载APP
科普中国APP
科普中国
科普中国